Caz UNIC în lume: O fetiţă de doar 3 săptămâni s-a născut “ însărcinată” cu gemeni

Publicat pe 11.02.2015 la 10:16 Actualizat pe 11.02.2015 la 10:26

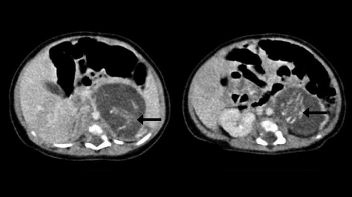
Caz incredibil în China, unde o fetiţă nou-născută a venit pe lume însărcinată cu gemeni. În spitalul Regina Elsabeta din Hong Kong a fost adusă pe lume o fetiţă care era gravidă cu doi gemeni în opt săptămâni.

close
x