O durea abdomenul și a mers la medici! Este șocant ce i-au găsit femeii de 65 de ani în interior: un făt... de 30 de ani!
Publicat pe 12.07.2017 la 11:35 Actualizat pe 12.07.2017 la 13:51
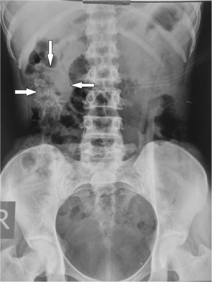
In prima instanta, specialistii n-au putut gasi nicio explicatie, dupa aceea insa...
Luisanni Isa a trecut printr-o experiență traumatizantă în 2011, pe când avea 65 de ani. O durere abdomninală puternică a trimis-o de urgență la medic.
În primă instanță, specialiștii n-au putut găsi nicio explicație pentru acele dureri care se intensificau.
Ecografiile și examinările amănunțite au semnalat un amănunt șocant în pântecele ei era un făt complet pietrificat... de 30 de ani.
Se pare că, în tinerețe, Luisanni rămăsese însărcinată, dar ea nu ajunsese să nască. La vremea respectivă, a mers la spital și chiar la diverși vindecători, dar nimeni nu i-a putut da o explicație pertinentă cu ceea ce s-a întâmplat cu sarcina ei. Burtica de gravidă i s-a redus, iar apoi nimic nu s-a mai întâmplat.

Până după 30 de ani, când din abdomen i-a fost extirpat un făt pietrificat.
În acele vremuri, puțini auziseră de boala numită Litopiedion sau ”Bebelușul de Piatră”, un fenomen foarte rar (1.3-3% din sarcinile abdominale avansate) care apare atunci cand un fetus moare in timpul unei sarcini ectopice (implantarea embrionului in orice alt tesut in afara de cel al peretelui uterin).

El este prea mare pentru a fi resorbit de catre corpul matern, ramane in cavitatea abdominala si incepe sa se calcifieze subcutanat (proces ce apara mama de tesutul mort si previne infectia).
Pentru că nu există simptome, fătul nu este detectat. De multe ori, el se confundă cu tumoarea ovariană.