10 ani cu o jucărie sexuală în... INTERIOR
Publicat pe 24.07.2014 la 21:37 Actualizat pe 24.07.2014 la 21:38
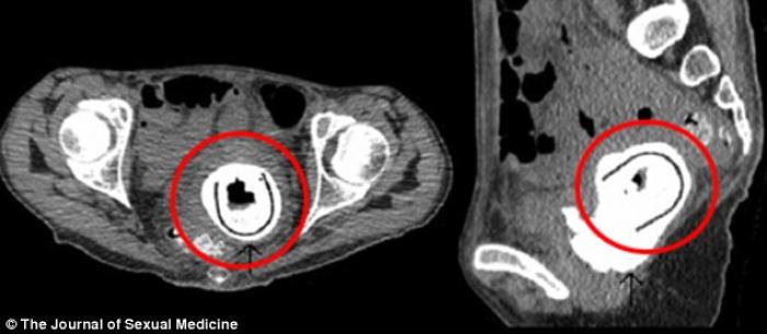
O femeie în vârstă de 38 de ani a ajuns la spital plângându-se de mari pierderi în greutate și letargie. Este vorba despre o doamnă din Scoția care a stat cu o jucărie sexuală de 12,7 cm în interior, timp de 10 ani.
10 ani cu o jucărie sexuală în... INTERIOR