10 ani cu o jucărie sexuală în... INTERIOR

Publicat pe 24.07.2014 la 21:37 Actualizat pe 24.07.2014 la 21:38

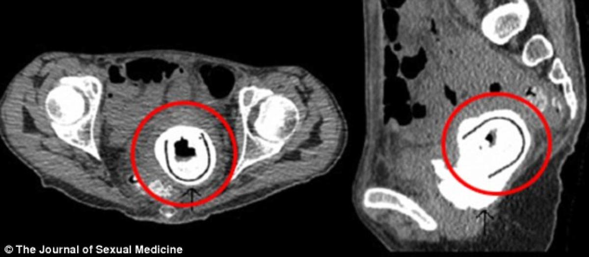
O femeie în vârstă de 38 de ani a ajuns la spital plângându-se de mari pierderi în greutate și letargie. Este vorba despre o doamnă din Scoția care a stat cu o jucărie sexuală de 12,7 cm în interior, timp de 10 ani.

10 ani cu o jucărie sexuală în... INTERIOR

O femeie în vârstă de 38 de ani a ajuns la spital plângându-se de mari pierderi în greutate și letargie.
Este vorba despre o doamnă din Scoția care a stat cu o jucărie sexuală de 12,7 cm în interior, timp de 10 ani.

La o examinare mai atentă însă, medicii au fost șocați să descopere un obiect straniu în vagin ce înțepa vezica.
Doctorii au fost cu atât mai uimiți cu cât pacienta a declarat că folosise jucăria în urmă cu 10 ani!
A recunoscut însă că era sub influența alcoolului și nu-ți mai amintea dacă a scos sau nu jucăria.

IQ-ul femeii era unul normal, nu prezenta semne de depresie sau psihoză și nici nu părea să fi fost abuzată.

Jurnalul de Medicină Sexuală spune că este pentru prima oară când o asemenea jucărie este lăsată în interiorul unei femei preț de o decadă.

Oricum nu este singurul caz de acest gen. O altă femeie a avut în vagin un corp străin 35 de ani!

În articolul 10 ani cu o jucărie sexuală în... INTERIOR:
Share pe Facebook Share pe Whatsapp
PARTENERI
Horoscopul zilei de 29 octombrie 2025. Capricornii caută liniștea. Află ce se întâmplă cu zodia ta
Catine.ro
Horoscopul zilei de 29 octombrie 2025. Capricornii caută liniștea. Află ce se întâmplă cu zodia ta
Secretul întunecat al doctoriţei Ştefania Szabo: şi-ar fi injectat des sedative puternice
observatornews.ro
Secretul întunecat al doctoriţei Ştefania Szabo: şi-ar fi injectat des sedative puternice
Imagini virale cu un Ciobănesc german la metroul din Capitală. Reacțiile internauților sunt copleșitoare: „Îmi vine să plâng”
a1.ro
Imagini virale cu un Ciobănesc german la metroul din Capitală. Reacțiile internauților sunt copleșitoare: „Îmi vine să plâng”
Rețetă de bruschete cu ton și avocado. Cum obții ușor și rapid niște aperitive delicioase
HelloTaste.ro
Rețetă de bruschete cu ton și avocado. Cum obții ușor și rapid niște aperitive delicioase
A devenit cea mai bine plătită actriță de la Hollywood după ce a acceptat rolul de dansatoare exotică. Ce spune despre personajul care i-a adus succesul
Catine
A devenit cea mai bine plătită actriță de la Hollywood după ce a acceptat rolul de dansatoare exotică. Ce spune despre personajul care i-a adus succesul
Orașul în care toți oamenii locuiesc în același bloc. Poți ajunge acolo doar printr-un tunel imens
useit.ro
Orașul în care toți oamenii locuiesc în același bloc. Poți ajunge acolo doar printr-un tunel imens
Afacerea “unică în Europa” a milionarului român care va câştiga o avere! “Nu am mai văzut aşa ceva”
as.ro
Afacerea “unică în Europa” a milionarului român care va câştiga o avere! “Nu am mai văzut aşa ceva”
Cauze ale durerii de urechi. Ce poate cauza acest simptom
MediCOOL
Cauze ale durerii de urechi. Ce poate cauza acest simptom
Ștefania Szabo, medicul găsit mort în camera de gardă, era in proces cu fostul soț, dupa divorț. Ce ipoteză exclud colegii ei: „Nu cred că poate fi vorba de un gest necugetat”
Spynews
Ștefania Szabo, medicul găsit mort în camera de gardă, era in proces cu fostul soț, dupa divorț. Ce ipoteză exclud colegii ei: „Nu cred că poate fi vorba de un gest necugetat”
Întrebări pe care le ai când vrei să rămâi gravidă. Ce poți să schimbi în cadrul relațiilor sexuale
DeParinti
Întrebări pe care le ai când vrei să rămâi gravidă. Ce poți să schimbi în cadrul relațiilor sexuale
Ce schimbări produce statul în casă. Modificările pe care le poate avea atât fizic, cât și mintal
MediCOOL
Ce schimbări produce statul în casă. Modificările pe care le poate avea atât fizic, cât și mintal
Ma’amoul. Fursecuri umplute cu curmale și nuci, rețeta tradițională
HelloTaste
Ma’amoul. Fursecuri umplute cu curmale și nuci, rețeta tradițională
close
x