CAZ ȘOCANT: A stat cu un vierme în creier timp de 4 ani
Publicat pe 24.11.2014 la 23:47 Actualizat pe 25.11.2014 la 00:05
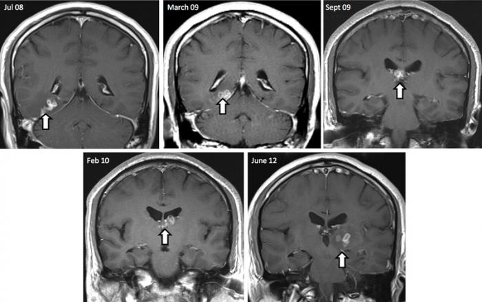
Două scanări cerebrale realizate la interval de 4 ani arată modul în care un vierme lung de 1 cm s-a deplasat prin creierul unui bărbat, înainte de a fi înlăturat în urma unei operaţii.

Nagui Antoun