CAZ ȘOCANT: A stat cu un vierme în creier timp de 4 ani

Publicat pe 24.11.2014 la 23:47 Actualizat pe 25.11.2014 la 00:05

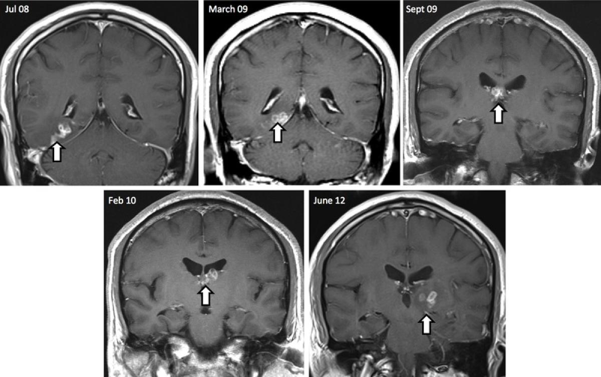
Două scanări cerebrale realizate la interval de 4 ani arată modul în care un vierme lung de 1 cm s-a deplasat prin creierul unui bărbat, înainte de a fi înlăturat în urma unei operaţii.

Nagui Antoun

Două scanări cerebrale realizate la interval de 4 ani arată modul în care un vierme lung de 1 cm s-a deplasat prin creierul unui bărbat, înainte de a fi înlăturat în urma unei operaţii.

Viermele se numeşte Spirometra erinaceieuropaei şi este originar din Orientul Îndepărtat, iar cazurile de infestare de acest fel sunt foarte rare, fiind înregistrate numai 300 de cazuri până acum în întreaga lume.

Pacientul este din Marea Britanie şi prima scanare la RMN a fost realizată în anul 2008.

Infestarea cu acest parazit, i-a provocat bărbatului inflamarea țesuturilor, convulsii, dureri puternice de cap și pierderi de memorie.

În articolul CAZ ȘOCANT: A stat cu un vierme în creier timp de 4 ani:
Share pe Facebook Share pe Whatsapp
PARTENERI
Horoscopul zilei de 27 noiembrie 2025. Capricornii îmbrățișează sinceritatea. Află ce se întâmplă cu zodia ta
Catine.ro
Horoscopul zilei de 27 noiembrie 2025. Capricornii îmbrățișează sinceritatea. Află ce se întâmplă cu zodia ta
Brânza românească celebră în lume. A fost premiată cu aur la un celebru concurs gastronomic din Elveţia
observatornews.ro
Brânza românească celebră în lume. A fost premiată cu aur la un celebru concurs gastronomic din Elveţia
Chef Roxana Blenche este însărcinată! Celebrul bucătar de la Hello Chef va deveni mamă pentru a doua oară
a1.ro
Chef Roxana Blenche este însărcinată! Celebrul bucătar de la Hello Chef va deveni mamă pentru a doua oară
Plăcinte cu cartofi și mărar la tigaie. Rețetă de post
HelloTaste.ro
Plăcinte cu cartofi și mărar la tigaie. Rețetă de post
Tara Reid a reacționat după ce ar fi primit substanțe interzise fără voia ei: „Am crezut că încerca să mă șantajeze”
Catine
Tara Reid a reacționat după ce ar fi primit substanțe interzise fără voia ei: „Am crezut că încerca să mă șantajeze”
7 chatboți AI mai buni decât ChatGPT, potrivit utilizatorilor. Ce platformă a ieșit pe primul loc
useit.ro
7 chatboți AI mai buni decât ChatGPT, potrivit utilizatorilor. Ce platformă a ieșit pe primul loc
Comisia Europeană a aprobat cumpărarea marii companii din România de către miliardarul Rinat Ahmetov!
as.ro
Comisia Europeană a aprobat cumpărarea marii companii din România de către miliardarul Rinat Ahmetov!
Alimente congelate care te pot ajuta să reduci trigliceridele, conform nutriționiștilor
MediCOOL
Alimente congelate care te pot ajuta să reduci trigliceridele, conform nutriționiștilor
Fiul lui Bercea Mondialu, implicat într-un accident rutier mortal! Victima a decedat
Spynews
Fiul lui Bercea Mondialu, implicat într-un accident rutier mortal! Victima a decedat
Cele mai bune 5 vitamine pentru adolescenți
DeParinti
Cele mai bune 5 vitamine pentru adolescenți
Trigliceride mărite: ce valori normale au trigliceridele, de ce cresc și care sunt riscurile pentru sănătate
MediCOOL
Trigliceride mărite: ce valori normale au trigliceridele, de ce cresc și care sunt riscurile pentru sănătate
Varză călită cu morcovi și ceapă. Rețetă simplă și gustoasă, de post
HelloTaste
Varză călită cu morcovi și ceapă. Rețetă simplă și gustoasă, de post
close
x