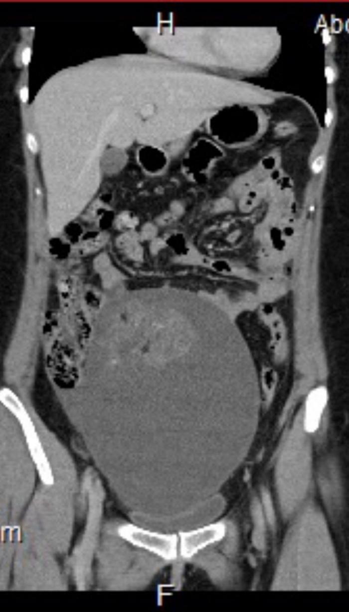
După 7 teste de sarcină, presupusul bebeluș s-a dovedit a fi o tumoră de mărimea unei mingi de fotbal

Publicat pe 02.08.2015 la 14:06 Actualizat pe 02.08.2015 la 14:28

După dureri groaznice și sângerări între menstruații, o femeie și-a făcut un test de sarcină. Când a venit negativ, a realizat că pericolul era real - altceva se întâmpla cu trupul ei. Medicii, însă, nu i-au putut pune un diagnostic clar, sugerându-i să-și facă alte 7 teste de sarcină. După 3 luni, adevărul a ieșit la iveală

close
x