VIDEO! Dinti perfecti cu coroane dentare din zirconiu

Publicat pe 10.02.2011 la 16:32 Actualizat pe 10.02.2011 la 16:35

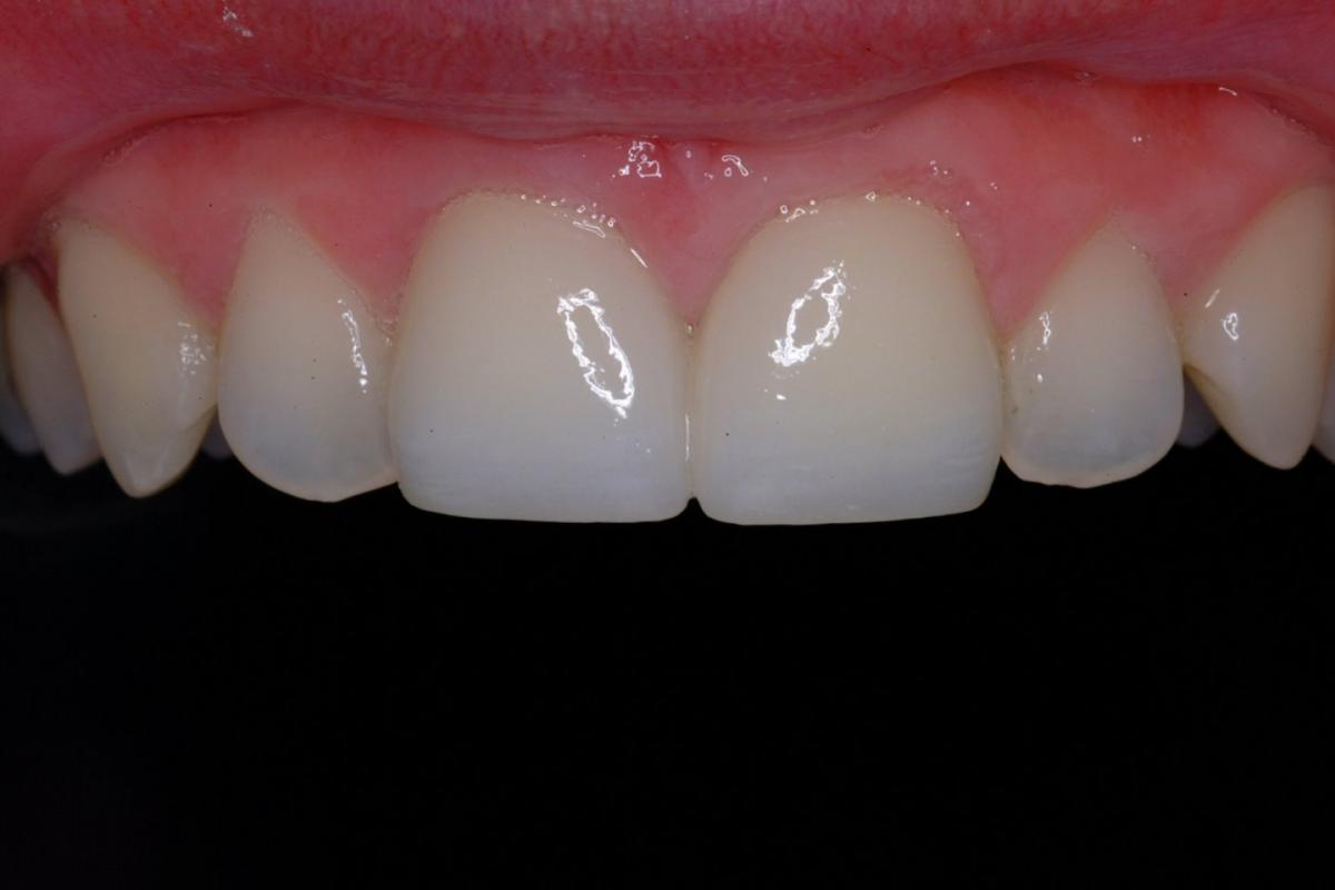
Dintii perfecti se fac din zirconiu. Aflati aici despre cele mai moderne coroane dentare care se pot gasi acum in cabinetele de stomatologie.

Avantajele coroanei de zirconiu constau atat in calitatile ei fizice deosebite, cat si in cele estetice. In general, acest tratament este unul destul de scump, mai ales atunci cand medicii il fac la un anumit nivel. Din aceasta cauza, clientela este mai redusa. In ultimul timp, insa, din ce in ce mai multa lume doreste aceasta coroana, pentru a-si imbunatati aspectul estetic.

Acest tratament necesita o pregatire speciala, dar cu toate acestea, orice medic stomatolog il poate efectua. Exista ceramici care trebuie adaugate pe acest schelet din zirconiu, care trebuie alese dupa anumite criterii, cum ar fi: estetica generala a fetei, a gingiei, a pozitiei dintilor.

În articolul VIDEO! Dinti perfecti cu coroane dentare din zirconiu:
Share pe Facebook Share pe Whatsapp
PARTENERI
Horoscopul zilei de 27 octombrie 2025. Balanțele au nevoie de echilibru emoțional. Află ce se întâmplă cu zodia ta
Catine.ro
Horoscopul zilei de 27 octombrie 2025. Balanțele au nevoie de echilibru emoțional. Află ce se întâmplă cu zodia ta
Destinaţia inedită pentru care turiştii plătesc 800 de lei pe noapte. Peisajul te lasă fără cuvinte
observatornews.ro
Destinaţia inedită pentru care turiştii plătesc 800 de lei pe noapte. Peisajul te lasă fără cuvinte
Imagini virale cu un Ciobănesc german la metroul din Capitală. Reacțiile internauților sunt copleșitoare: „Îmi vine să plâng”
a1.ro
Imagini virale cu un Ciobănesc german la metroul din Capitală. Reacțiile internauților sunt copleșitoare: „Îmi vine să plâng”
Rețetă de bruschete cu ton și avocado. Cum obții ușor și rapid niște aperitive delicioase
HelloTaste.ro
Rețetă de bruschete cu ton și avocado. Cum obții ușor și rapid niște aperitive delicioase
Amy Schumer a trecut printr-o transformare neașteptată, după ce a slăbit dramatic: „Trebuie să fii sinceră cu publicul tău”
Catine
Amy Schumer a trecut printr-o transformare neașteptată, după ce a slăbit dramatic: „Trebuie să fii sinceră cu publicul tău”
Avertisment urgent emis de Microsoft pentru milioane de utilizatori. De ce sunt vulnerabili în fața atacurilor hackerilor
useit.ro
Avertisment urgent emis de Microsoft pentru milioane de utilizatori. De ce sunt vulnerabili în fața atacurilor hackerilor
“M-a bufnit plânsul şi am plecat”. Momentul în care Gigi Becali a cedat la sfinţirea Catedralei Mântuirii Neamului
as.ro
“M-a bufnit plânsul şi am plecat”. Momentul în care Gigi Becali a cedat la sfinţirea Catedralei Mântuirii Neamului
Cauze ale durerii de urechi. Ce poate cauza acest simptom
MediCOOL
Cauze ale durerii de urechi. Ce poate cauza acest simptom
Cel puţin nouă morți și 29 de răniți într-un accident îngrozitor! Autocarul în care se aflau s-a prăbușit de pe un pod
Spynews
Cel puţin nouă morți și 29 de răniți într-un accident îngrozitor! Autocarul în care se aflau s-a prăbușit de pe un pod
Întrebări pe care le ai când vrei să rămâi gravidă. Ce poți să schimbi în cadrul relațiilor sexuale
DeParinti
Întrebări pe care le ai când vrei să rămâi gravidă. Ce poți să schimbi în cadrul relațiilor sexuale
Ce schimbări produce statul în casă. Modificările pe care le poate avea atât fizic, cât și mintal
MediCOOL
Ce schimbări produce statul în casă. Modificările pe care le poate avea atât fizic, cât și mintal
Ma’amoul. Fursecuri umplute cu curmale și nuci, rețeta tradițională
HelloTaste
Ma’amoul. Fursecuri umplute cu curmale și nuci, rețeta tradițională
close
x