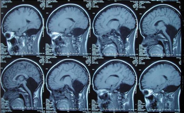
Inexplicabil?! A trăit 24 de ani fără creier! Cazul care a uimit medicii
Publicat pe 12.09.2014 la 11:11 Actualizat pe 12.09.2014 la 12:20
Doctorii din China au rămas perplecși în fața unui caz nemaipomenit. O tânără a trăit mai mult de 20 de ani fără creier!
