Inexplicabil?! A trăit 24 de ani fără creier! Cazul care a uimit medicii

Publicat pe 12.09.2014 la 11:11 Actualizat pe 12.09.2014 la 12:20

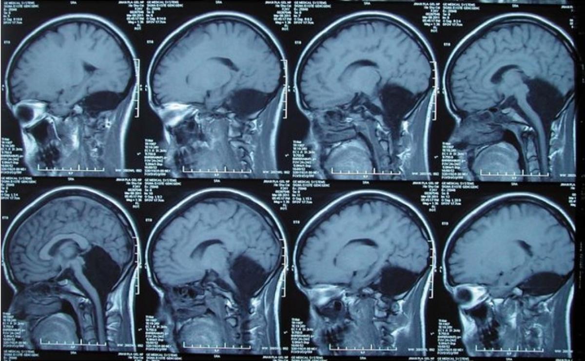
Doctorii din China au rămas perplecși în fața unui caz nemaipomenit. O tânără a trăit mai mult de 20 de ani fără creier!

Doctorii din China au rămas perplecși în fața unui caz nemaipomenit. O tânără a trăit mai mult de 20 de ani fără creier!

Mai precis, femeia s-a născut fără creierul mic. Medicii au descoperit că nu are cerebel la vârsta de 24 de ani când i-au scanat creierul, după ce aceasta s-a plâns de grețuri și vomă timp de o lună întreagă. Deși lipsa cerebelului ar fi trebuit să indice grave probleme de pronunție și imobilitate, femeia le-a spus că singura problemă pe care a avut-o toată viața fost starea de amețeală permanentă. Ce se afla în locul cerebelului? Lichid cefalorahidian.

Surpriza a fost atât mai mare pentru doctori cât simptomele obișnuite lipseau. Cerebelul controlează toate mișcările, până și cele fine, ca ale gurii și limbii. Chinezoaica însă putea să vorbească normal, oamenii percepând doar un sâsâit ciudat. „Acest caz arată că, la tineri, cerebelul tinde să fie mult mai flexibil și ușor adaptabil la anormalități”, a spus Dr. Raj Narayan, profesor de neurochirurgie la North Shore University Hospital, din New York.

Când o persoană se naște cu o anormalitate sau pierde la o vârstă fragedă o parte din creier, restul creierul încearcă să compenseze.

În articolul Inexplicabil?! A trăit 24 de ani fără creier! Cazul care a uimit medicii:
Share pe Facebook Share pe Whatsapp
PARTENERI
Horoscopul zilei de 10 decembrie 2025. Vărsătorii caută conexiuni autentice. Află ce se întâmplă cu zodia ta
Catine.ro
Horoscopul zilei de 10 decembrie 2025. Vărsătorii caută conexiuni autentice. Află ce se întâmplă cu zodia ta
Concedieri la marile companii de Sărbători. Sunt numite "optimizări" şi "reorientare strategică"
observatornews.ro
Concedieri la marile companii de Sărbători. Sunt numite "optimizări" şi "reorientare strategică"
Dani Oțil, Gabriela Prisăcariu și fiul lor au împodobit bradul de Crăciun. Ce costum adorabil a îmbrăcat Tiago: „Ce simpatic este”
a1.ro
Dani Oțil, Gabriela Prisăcariu și fiul lor au împodobit bradul de Crăciun. Ce costum adorabil a îmbrăcat Tiago: „Ce simpatic este”
Cozonac tradițional cu umplutură mixtă, pufos, aromat și cu gust bogat
HelloTaste.ro
Cozonac tradițional cu umplutură mixtă, pufos, aromat și cu gust bogat
Acest ingredient esențial aduce beneficii nenumărate pentru sănătate. Tu l-ai încercat?
Catine
Acest ingredient esențial aduce beneficii nenumărate pentru sănătate. Tu l-ai încercat?
Cele mai bune jocuri video din 2025. Ce titluri au impresionat fanii și experții
useit.ro
Cele mai bune jocuri video din 2025. Ce titluri au impresionat fanii și experții
Milionarul român care merge cu metroul în Bucureşti nu a mai ţinut cont de nimic şi riscă o amendă uriaşă
as.ro
Milionarul român care merge cu metroul în Bucureşti nu a mai ţinut cont de nimic şi riscă o amendă uriaşă
Remedii naturale pentru creşterea părului. La ce metode să apelezi fără cheltuială prea mare
MediCOOL
Remedii naturale pentru creşterea părului. La ce metode să apelezi fără cheltuială prea mare
Rudele vor să o dezgroape pe fostul ministru al Justiției, Rodica Stănoiu. Cred că ar fi vorba de o crimă
Spynews
Rudele vor să o dezgroape pe fostul ministru al Justiției, Rodica Stănoiu. Cred că ar fi vorba de o crimă
Cum îți ajuți copilul să recunoască știrile false
DeParinti
Cum îți ajuți copilul să recunoască știrile false
5 medicamente uzuale care interacționează cu cafeaua. Ce reacții neașteptate pot apărea
MediCOOL
5 medicamente uzuale care interacționează cu cafeaua. Ce reacții neașteptate pot apărea
Fursecuri boabe de cafea, fragede, aromate și ușor de preparat
HelloTaste
Fursecuri boabe de cafea, fragede, aromate și ușor de preparat
close
x