Trei mutatii genetice provoaca leucemie

Publicat pe 01.04.2011 la 17:36 Actualizat pe 01.04.2011 la 17:37

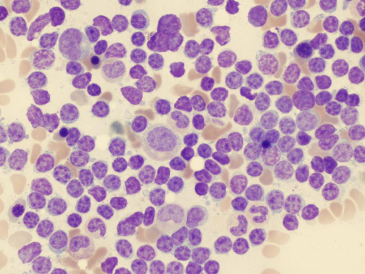
Cercetatorii englezi au identificat trei noi gene care sunt implicate in aparitia leucemiei mieloide acute. Acesta este primul pas spre descoperirea unui nou tratament eficient impotriva acestei forme de cancer.

Oamenii de stiinta de la Wellcome Trust Sanger Institute au descoperit trei mutatii genetice care conduc la dezvoltarea leucemiei mieloide acute. Rezultatele cercetarilor au fost publicate in revista Nature Genetics.

Leucemia mieloida acuta este un tip de cancer al sangelui si al maduvei osoase. In aceasta boala, maduva osoasa produce celule albe imature (mielobasti), celule rosii si trombocite anormale, ceea ce provoaca dezechilibre la nivelul intregului organism. Incomplet dezvoltate, celulele albe sunt incapabile sa mai lupte impotriva infectiilor, iar celulele rosii nu mai reusesc sa transporte oxigen in tot organismul.

Fara tratament, leucemia mieloida acuta poate fi fatala in cateva saptamani. Din pacate, tratamentul actual nu vindeca boala, ci doar asigura remisia si mentinerea acesteia sub control. Simptomele leucemiei mieloide acute includ febra, dificultati de respiratie, sangerari sau vanatai la traumatisme minore, pete plate sub piele determinate de sangerari, astenie, pierderea poftei de mancare sau scaderea in greutate.

Cercetatorii de la Wellcome Trust Sanger Institute au analizat etapele de dezvoltare a acestei forme de leucemie si factorii care intervin in aceste stadii. Astfel, ei au descoperit trei mutatii genetice care apar pe parcursul evolutiei leucemiei. Una dintre genele mutante afecteaza cresterea si diviziunea celulelor albe, iar alta modifica structura celulelor. Deocamdata studiile au fost facute pe animale de laborator. Dar autorii sustin ca aceasta este o etapa importanta in descoperirea unui tratament tintit contra leucemiei mieloide acute.

Am descoperit etapele critice care apar in dezvoltarea acestui tip de cancer. Identificarea etapelor biologice inseamna ca putem cauta noi metode de tratament capabile sa schimbe procesele respective", a explicat medicul George Vassiliou, hematolog la Wellcome Trust Sanger Institute. El admite ca obtinerea unui nou medicament poate dura mai multi ani, dar aceasta descoperire recenta ii poate ajuta pe medici sa utilizeze intr-o maniera mai precisa tratamentele deja cunoscute.

Citeste si Jurnalul!

FOTO: spsscience.blogspot.com

În articolul Trei mutatii genetice provoaca leucemie:
Share pe Facebook Share pe Whatsapp
PARTENERI
Horoscopul zilei de 22 octombrie 2025. Leii iau o decizie grea. Află ce se întâmplă cu zodia ta
Catine.ro
Horoscopul zilei de 22 octombrie 2025. Leii iau o decizie grea. Află ce se întâmplă cu zodia ta
Tânăra de 24 de ani ucisă în explozia din Rahova va fi înmormântată în rochie de mireasă. Mesajul prevestitor
observatornews.ro
Tânăra de 24 de ani ucisă în explozia din Rahova va fi înmormântată în rochie de mireasă. Mesajul prevestitor
Un tânăr a cerut să intre în blocul din Rahova în care a fost o explozie. Ce obiect a insistat să ia din casă. Toți l-au aplaudat
a1.ro
Un tânăr a cerut să intre în blocul din Rahova în care a fost o explozie. Ce obiect a insistat să ia din casă. Toți l-au aplaudat
Cornulețe cu gem după rețeta bunicii. Ce să adaugi neapărat ca să iasă fragede
HelloTaste.ro
Cornulețe cu gem după rețeta bunicii. Ce să adaugi neapărat ca să iasă fragede
Chutney de gutui cu ceapă roșie și chili. Un preparat dulce-acrișor și picant
Catine
Chutney de gutui cu ceapă roșie și chili. Un preparat dulce-acrișor și picant
Frații care au furat criptomonede în valoare de 25 de milioane de dolari. Cum au reușit jaful Anton și James Peraire-Bueno
useit.ro
Frații care au furat criptomonede în valoare de 25 de milioane de dolari. Cum au reușit jaful Anton și James Peraire-Bueno
Celebrul milionar s-a căsătorit cu “cea mai frumoasă femeie de pe planetă”
as.ro
Celebrul milionar s-a căsătorit cu “cea mai frumoasă femeie de pe planetă”
Când ai nevoie să-ți schimbi rutina de exerciții cardio. Ce poți face pentru a-ți adapta antrenamentele
MediCOOL
Când ai nevoie să-ți schimbi rutina de exerciții cardio. Ce poți face pentru a-ți adapta antrenamentele
Ce se întâmplă cu elevii liceului afectat de explozia din Rahova! Situație dramatică
Spynews
Ce se întâmplă cu elevii liceului afectat de explozia din Rahova! Situație dramatică
Alimentele și băuturile de evitat când alăptezi
DeParinti
Alimentele și băuturile de evitat când alăptezi
Cele mai nutritive legume de toamnă. Cum îți pot susține sănătatea pe parcursul anotimpului rece
MediCOOL
Cele mai nutritive legume de toamnă. Cum îți pot susține sănătatea pe parcursul anotimpului rece
La ce temperatură se ține carnea de vită la cuptor. Trucuri pentru o friptură suculentă și aromată
HelloTaste
La ce temperatură se ține carnea de vită la cuptor. Trucuri pentru o friptură suculentă și aromată
close
x